Crooked teeth are not just a cosmetic problem. They affect how you speak, how you clean your teeth, and how confident you feel every time you open your mouth. Most people who want to fix them do not want to spend months in braces or pay thousands for veneers. They want something that works, costs less, and does not take over their life.
That is exactly why so many people in Gilbert are asking whether composite bonding can fix crooked teeth. The short answer is yes, but only in certain cases. Composite bonding works well for mild misalignment and minor overlaps. It does not work for severe crowding or bite problems. Choosing the wrong treatment for your situation wastes both time and money.
What Is Composite Bonding?
Composite bonding is a cosmetic dental treatment where a tooth-colored resin is applied directly to your teeth. Your dentist shapes and sculpts it by hand, then hardens it in place with a curing light. The whole thing is done in a single visit.
It can fix quite a few things including chips, cracks, gaps, discoloration, and mildly crooked or uneven teeth. Because the resin is matched to your natural tooth color, the result blends in and looks completely natural. Unlike veneers, no enamel is removed. The dentist builds on top of your existing tooth, making it minimally invasive and fully reversible.
Can Composite Bonding Actually Straighten Crooked Teeth?
Technically, no. Composite bonding does not move your teeth. It cannot do what braces or clear aligners do.
What it does instead is change the shape and appearance of your teeth so they look straighter. By adding resin in the right places, your dentist can make teeth appear more even, more uniform, and better aligned. The result is a smile that looks straighter without any actual tooth movement.
This works well for minor cases. Slight overlaps, small rotations, uneven lengths, mildly crowded front teeth. For anything more severe, bonding alone will not give you a natural-looking result.
When Composite Bonding Works for Crooked Teeth
- Your teeth are only slightly crooked or have minor overlaps
- The misalignment is mostly cosmetic and does not affect your bite
- You want results in a single appointment without wearing aligners for months
- You are looking for a more affordable alternative to veneers or braces
- You need a temporary fix while considering orthodontic treatment
When Composite Bonding Is Not Suitable
- Your teeth are severely crooked or overcrowded
- Your bite is affected or misaligned
- The crookedness would make the bonded teeth look bulky or unnatural
- You have gum disease or significant oral health issues
- You are expecting the bonding to physically move your teeth
Why Do Teeth Become Crooked?
Crooked teeth are more common than most people realise. Very few people naturally have perfectly aligned teeth. There are several reasons why teeth grow crooked, overlap, or shift out of position over time.
Genetics
The most common cause is genetics. The size of your jaw and the shape of your teeth are largely inherited. If your jaw is naturally smaller than the space your teeth need, crowding happens automatically. There is nothing you could have done to prevent it. This is why crooked teeth often run in families.
Childhood Habits
Prolonged thumb sucking or dummy use puts consistent pressure on developing teeth and the jaw. Over time this pushes teeth forward or causes them to grow at unusual angles. The longer the habit continues, the more pronounced the effect.
Early Loss of Baby Teeth
Baby teeth hold the space open for permanent teeth. When a baby tooth is lost too early, surrounding teeth drift into that empty space. By the time the permanent tooth comes through, there is less room for it, forcing it to grow in at an angle or push against neighboring teeth.
Gum Disease
Gum disease damages the bone that supports your teeth. As that bone weakens, teeth lose their foundation and begin to drift or tilt over time. Treating gum disease is essential before any cosmetic treatment like composite bonding can be considered.
Mouth Breathing and Jaw Development
Children who breathe through their mouth for extended periods can experience changes in jaw development. This often results in a narrower jaw with less space for teeth, leading to crowding as permanent teeth come through.
Injury or Trauma
A direct impact to the mouth or jaw can knock teeth out of position. Sometimes the misalignment is immediate. Other times it develops gradually over months following the injury.
How Composite Bonding Fixes Crooked Teeth
The process is simple, painless, and completed in a single visit. No hospital stays, no recovery time, no follow-up appointments in most cases. Here is exactly what happens from start to finish.
Consultation and Smile Assessment
Before anything is applied to your teeth, your dentist examines your full smile. They check the degree of misalignment, the health of your gums, and the overall condition of your teeth. This step is critical because not everyone is a suitable candidate. If your crookedness is too severe or your bite is affected, your dentist will tell you here and point you toward a better option. Getting this assessment right saves you time and money further down the line.
Color Matching
Once you are confirmed as a suitable candidate, the dentist selects a composite resin shade that matches your natural teeth as closely as possible. This is done carefully under proper lighting conditions. A poor color match is one of the most common reasons bonding looks unnatural, so any experienced cosmetic dentist takes this step seriously.
Surface Preparation
The tooth surface is gently etched using a mild acidic gel. This slightly roughens the surface so the resin has something to grip onto. There is no drilling and no discomfort. A bonding agent is then applied to create a secure base for the resin to stick to.
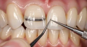
Application and Sculpting
This is where the skill of the dentist matters most. The composite resin is applied in thin layers directly onto the tooth and sculpted by hand. For crooked teeth, the resin is placed strategically to smooth out overlaps, fill in uneven edges, and create the visual impression of a straighter, more aligned smile. The more experienced the dentist, the more natural the final result looks.
Curing
Once each layer is shaped correctly, a UV curing light is held over the tooth for a few seconds. This hardens the resin instantly and locks the shape in place. The process is repeated layer by layer until the full result is built up.
Polishing and Bite Check
The dentist polishes the bonded teeth to a smooth, natural shine. They also check your bite to make sure the bonding does not interfere with how your teeth meet when you close your mouth. Any small adjustments are made here before you leave.
By the time you walk out, your smile looks visibly different. Same day. No waiting. No lengthy treatment plan to follow.
Benefits of Composite Bonding for Crooked Teeth
Composite bonding offers a quick, affordable way to improve the appearance of mildly crooked teeth without braces or lengthy treatment.
- Same-day results: You walk in with crooked teeth and walk out with a noticeably better smile, all in one appointment.
- No needles, no drilling: The process is additive, meaning nothing is removed from your natural tooth. Most patients need no anesthetic at all.
- Reversible: Unlike veneers or crowns, composite bonding does not permanently alter your teeth and can be removed if needed.
- Affordable: Composite bonding typically costs much less than porcelain veneers or orthodontic treatments.
- Natural-looking results: When done by a skilled dentist, the resin is virtually indistinguishable from your natural teeth.
- Minimal damage to enamel: Because no significant enamel removal is needed, your natural tooth structure stays intact.
Composite Bonding vs Invisalign: Which One Is Right for You?
Composite bonding changes how your teeth look without moving them. It is quicker and cheaper but purely cosmetic. The teeth underneath stay crooked.
Invisalign actually moves your teeth into the correct position. It takes longer and costs more but fixes the structural problem and improves your bite.
Some patients do both. Invisalign first to straighten, then bonding to refine the final result. If your crookedness is minor and cosmetic, bonding may be all you need. If your bite is affected, orthodontics should come first.
How Long Does Composite Bonding Last?
Composite bonding typically lasts between five and ten years. How long it lasts depends on how well you look after it and your lifestyle habits.
Things that can shorten the lifespan of your bonding include biting nails, chewing pens, eating very hard foods, and drinking a lot of staining liquids like coffee, red wine, or tea. The resin is also more porous than natural enamel, which means it can discolor over time.
The good news is that composite bonding is easy to repair or replace. If a section chips or stains, your dentist can fix it without needing to redo the whole treatment.
How to Make Your Composite Bonding Last Longer
- Brush and floss twice a day as normal
- Visit your dentist for check-ups every six months
- Avoid biting hard objects like ice, pens, or fingernails
- Limit staining foods and drinks such as coffee, tea, and red wine
- If you grind your teeth at night, ask your dentist about a mouthguard
How Much Does Composite Bonding Cost?
The cost depends on how many teeth need treatment, your location, and the dentist’s experience. For crooked teeth, it can be slightly higher than a simple chip repair because more skill and material are involved.
That said, composite bonding is significantly more affordable than veneers and much cheaper than orthodontic treatment. Book a free consultation to get an accurate quote before committing to anything.
Realistic Expectations: What Composite Bonding Can and Cannot Do
Composite bonding can make a real difference to your smile, but it is not a miracle treatment. Before you book anything, it is important to understand exactly what it can and cannot do. Going in with the wrong expectations is the most common reason patients end up disappointed.
What Composite Bonding Can Do
Composite bonding is excellent for cosmetic improvements on mildly crooked or imperfect teeth. If your concerns are mostly about appearance rather than function, it can deliver strong results.
- It can reshape slightly crooked or uneven teeth to create a more uniform, balanced smile
- It can close small gaps between teeth quickly and effectively
- It can make teeth appear longer, wider, or more symmetrical depending on what your smile needs
- It can improve the look of mildly overlapping front teeth without any orthodontic treatment
- It can cover stains and discoloration that whitening treatments cannot fix
What Composite Bonding Cannot Do
This is where many patients get caught out. Composite bonding has clear limits and it is important to know them before committing.
- It cannot physically move teeth into a new position. The teeth underneath stay exactly where they are.
- It cannot fix severe crowding or significant misalignment. Attempting to do so results in teeth that look bulky and unnatural.
- It cannot replace orthodontic treatment when a bite issue is involved. A structural problem needs a structural solution.
- It cannot be whitened after it is applied. The resin does not respond to bleaching treatments. If you want whiter teeth, do it before getting bonding so the shade can be matched correctly.
- It cannot last forever. Bonding needs to be touched up or replaced every five to ten years depending on your lifestyle and how well you care for it.
Who Is an Ideal Candidate for Composite Bonding on Crooked Teeth?
Composite bonding works best for adults who have minor cosmetic concerns about the alignment or shape of their teeth. You may be a good candidate if:
- Your teeth are only slightly crooked or have minor overlaps
- Your overall bite is healthy and functional
- You have good oral hygiene and no active gum disease
- You are looking for a quick, affordable cosmetic fix without aligners
- You are happy with the appearance of most of your teeth and just want to improve one or two
On the other hand, composite bonding is not the right starting point if your teeth are severely misaligned, your bite is affected, or you have underlying gum or bone issues that need to be treated first. In those cases your dentist will point you toward orthodontic treatment before any cosmetic work is considered.
Ready to Fix Your Crooked Teeth Without Braces?
If you’re dealing with slightly crooked or uneven teeth, composite bonding could give you a straighter-looking smile in just one visit. At Vista Dorada Dental in Gilbert, we help patients achieve natural-looking results quickly and comfortably without the hassle of long orthodontic treatments. Book your consultation with Vista Dorada Dental today to find out if composite bonding is right for you.
Conclusion
Composite bonding is a great option for mildly crooked teeth. It is quick, affordable, and done in a single visit. But it is not for everyone. If your misalignment is severe or your bite is affected, orthodontic treatment needs to come first.
The smartest next step is a free consultation with an experienced cosmetic dentist. Get an honest answer about whether bonding is right for your teeth before committing to anything. Your smile is worth getting right. Choose the treatment that actually fits your needs.
Frequently Asked Questions
Does composite bonding hurt?
No. Composite bonding is pain-free in almost all cases. Because the dentist is adding material on top of your tooth rather than drilling into it, there is no need for injections or anesthetic. The process is comfortable from start to finish and most patients are surprised by how straightforward it is.
Can I get composite bonding on just one crooked tooth?
Yes, absolutely. Composite bonding does not have to be done across your whole smile. If only one tooth is bothering you, your dentist can treat that single tooth and match the resin shade to your surrounding teeth so the result looks completely natural and consistent.
How quickly can I see results?
Immediately. Composite bonding is a same-day treatment. From consultation to polishing, the whole process usually takes between 30 and 90 minutes per tooth. You walk in with crooked teeth and walk out with a visibly improved smile the very same day.
Is composite bonding permanent?
No. The resin can be removed or replaced at any point, making it one of the most reversible cosmetic dental procedures available. It typically lasts between five and ten years depending on how well you look after it, after which it can be touched up or replaced easily.
Can composite bonding fix gaps between my front teeth?
Yes. Closing gaps is one of the most popular uses of composite bonding. The resin is carefully applied to the edges of the teeth to narrow the gap and create a more even, uniform smile. Results are immediate and the change can be quite dramatic even for larger gaps.










